Human Embryo- high
power
|
|

|
Clicking on the section number will open the
full image.
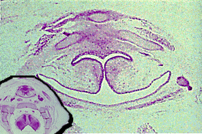
B7,C1:
Laryngeal caecum. Arytenoid swellings. Thyroid
cartilage. L,R laminae and superior processes.
Hyoid cartilage with sternohyoid muscles.
|
|

|
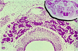
C2,C3:
Tracheal epithelium. Note in C2, ventral tracheal
cartilage. In C3 note rounded cells of hyaline
tracheal cartilage, starting to push apart in
central midline zone but compressed together at
lateral margins. Thyroid gland.
|
|
C4:
Tracheal epithelium (vacuolated) and trachealis
muscle. Note regional changes in
cartilage as in C3 above. Oesophagus -
epithelium (vacuolated), submucosa and muscularis
externa with a few inner spiral and isolated, outer
longitudinal muscle bundles.
|
|

|
C5,C6:
Developing thymus.
|
|

|
Dl:
Note bronchial epithelium (tall wedge-shaped cells)
with subepithelial smooth muscle, surrounding loose
connective tissue and visceral pleura.
|
|