Human
Embryo-Lung
|
Clicking on the section number
will open the full image. 
|
|

|
C7:
Sternum. Thymus gland. L brachiocephalic vein.
Brachiocephalic trunk. Trachea.
Oesphagus. Apex of R lung in pleural cavity
|
|

|
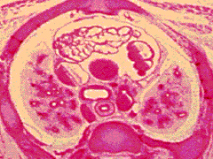
Dl:
Sternum. Thymus. Lungs. Visceral and parietal
pleurae. Pleural cavities. Other contents of
superior mediastinum.
|
|

|
D3:
Tracheal bifurcation.
|
|

|
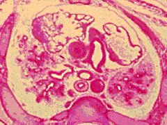
D4:
R primary bronchus (torn) and R superior lobe
bronchus. L primary bronchus. L, R pulmonary
arteries. Ribs joining to sternum.
|
|

|
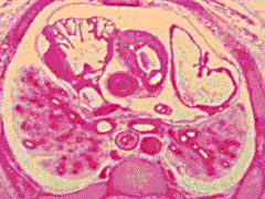
D5:
R, L primary bronchi. R anterior and posterior
segmental bronchi coming off R superior lobe
bronchus. L, R pulmonary arteries. Hilar
attachments of lungs to mediastinal tissues - note
extent of R, L pleural cavities.
|
|

|
D6:
R, L primary bronchi (note left still has not
branched). R pulmonary artery.
|
|

|
D7:
R, L primary bronchi: note distinct horizontal
course of L, vertical course of R, L pulmonary
veins (L empty). R pulmonary artery.
|
|

|
E1,E2:
Pulmonary veins. Azygos, hemiazygos veins. Ribs.
Intercostal muscles.
|
|

|
E2:
Pulmonary veins. Azygos, hemiazygos veins. Ribs.
Intercostal muscles.
|
|

|
E3:
R dome of diaphragm. Liver. R long middle and
inferior lobes. L long superior and inferior lobes.
Xiphoid process.
|
|

|
E4:
Diaphragm (note costal attachment). R lung inferior
lobe. Inferior vena cava, dorsal to diaphragm.
|
|

|
E5:
Liver. Diaphragm with sternal attachments. Inferior
vena cava, now ventral to diaphragm (vena caval
foramen). Inferior lobes of lungs.

|
|
E6:
Liver. Thoracic aorta. Large adrenal glands.
E7:
Lumbar diaphragm. Thoracic aorta. Note ribs 11 and
12 on L and three layers of abdominal muscles
extending ventrally.
Fl:
Lumbar diaphragm. Thoracic aorta.
F2:
Attachment of lumbar diaphragm near L 1 on R with
psoas muscle dorsal to it. Note abdominal aorta
giving rise to superior mesenteric artery.
|