UNSW Embryology

Human Menstral Cycle

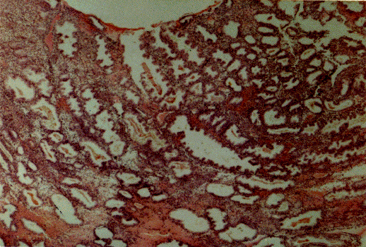
Late Secretory Endometrium


Embryology Home Page

Menstrual Cycle

Smears

Human Stages

Low Power Series

High Power Series

Human Embryo Homepage

Previous image

Next Image

Smear

Smears Homepage

Menstrual Cycle Homepage

Day 23-28

Late Secretory, premenstrual

Late Secretory- Premenstrual

The glands are now wide, tortuous and saccular. Spiral arteries begin contracting, capillary beds they supply in the stroma begin to seeping blood into the endometrium which then into the uterine cavity at menses.