UNSW Embryology

Human Menstrual Cycle

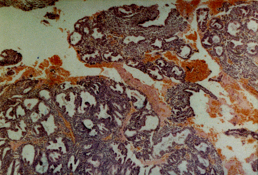
Menstrual Endometrium


Embryology Home Page

Menstrual Cycle

Smears

Human Stages

Low Power Series

High Power Series

Human Embryo Homepage

Previous image

Next Image

Smears

Menstrual Cycle Homepage

Day 1-4

Menstrual

Menstruation

Functional layer of endometrium is sloughed off leaving stratum basale to regrow thefunctional zone containing straight arteries during the next cycle. Detachment of the endometrium leads to bleeding from the ends of exposed arteries into the stroma and then into the uterine cavity.