UNSW Embryology

Human Menstrual Cycle

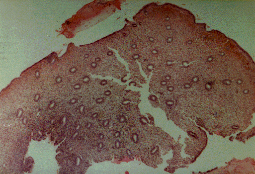
Mid Proliferative Endometrium


Embryology Home Page

Menstrual Cycle

Smears

Human Stages

Low Power Series

High Power Series

Human Embryo Homepage

Previous image

Next Image

Smear

Smears Homepage

Menstrual Cycle Homepage

Day 9-13

Mid Proliferative

Mid-Proliferative

Increasing levels of estrogens cause a thickening of the endometrium during this phase of repair and proliferation. A continuous surface epithelium grows from glandular remnants in the stratum basale and covers the endometrium. The stroma is compact and the glands increase in number, length and by regeneration from glandular remnants.