Techniques and Cytology

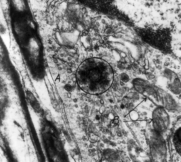
A transverse section of a centriole. Identify the microtubules.

To see a close up of the microtubules, click here