Reading: RR&K, Chapters 7 and 8
SLIDE 70a trachea (H&E)
(RR&K p140, Fig. 1)
On this slide locate hyaline cartilage which forms supporting tracheal rings. Using the 40X objective, examine the hyaline cartilage. Observe the cartilage matrix with lacunae containing chondrocytes. Note the shape of chondrocytes and presence of vacuoles located within its cytoplasm. What did the vacuoles probably contain? Find the capsule, capsular matrix, territorial matrix and interterritorial matrix (refer to atlas). On the surface of the tracheal ring identify the perichondrium. The perichondrium contains fibroblast-like cells and cells that give rise to chondroblasts.
Check list for SLIDE 70a: 
SLIDE 03a epiglottis, human (H&E)
(RR&K p147, Fig. 1,2)
In the H&E preparation, the elastic fibers are best seen at higher magnification. On this slide they stain red or orange, which accounts for the "mottled" appearance of the cartilage matrix. Identify the mucous-secreting glands that can be found adjacent to the cartilage. Classify the different types of epithelia that cover the epiglottis.
Check list for SLIDE 03a: 
SLIDE 04a meniscus, human (H&E)
(RR&K p149, Fig. 1,2)
Some joints, such as the knee, sternoclavicular and temporomandibular, contain the fibrous cartilage inside the joint cavity in the form of discs or menisci. These structures attach on one side to the articular capsule and have a free surface facing the joint cavity. At low power, identify the free surface of the meniscus, which is similar to articular cartilage itself: no perichondrium is present. Using the 20X objective lens, identify regions near the capsular attachment characterized by fibroblasts whose nuclei are flattened. The tissue in these regions is classify as a dense regular connective tissue. Moving towards a free surface you may find areas with isogenous groups of round cells in lacunae (chondrocytes). The lacunae are usually aligned in rows. These findings are characteristic for fibrocartilage.
Check list for SLIDE 04a: 
SLIDE 06a bone (ground)
(RR&K p171, Fig. 1,2,3)
This slide of the compact bone was prepared by removing organic component (i.e., cells) from the bone and subsequently sectioning the bone with the diamond saw into very thin slices. Some of the sections were treated with India ink. The organic matrix and minerals are preserved while the cellular detail is lost due to the techniques required in the preparation of this section. Using the atlas as a guide, identify osteons, Haversian canals, and interstitial lamellae. Observe the concentric rings of the lacunae within each osteon. On many slides the canaliculi connecting the lacunae are evident as fine black lines.
Check list for SLIDE 06a: 
SLIDE 06b long bone (decalcified, H&E)
(RR&K p161, Fig. 8.10; p178, Fig. 2)
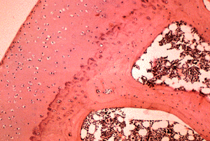
This slide contains a longitudinal and cross-section of decalcified long bone. At the time of fixation, this bone was undergoing extensive remodeling. Identify the periosteum and endosteum lining of the bone. Observe the fibrous and cellular layers of the periosteum. The fibrous layer contains fibroblast-like cells, while the cellular layer contains osteoblasts and bone lining cells (inactive osteoblasts and osteoprogenitor cells). The endosteum contains osteoblasts, bone lining cells, and osteoclasts. Look for the multinucleated eosinophilic osteoclasts in Howship's lacunae. The osteoclasts arise from monocytes which also give rise to cells of the mononuclear phagocytic system (see Lab 4 and 5). The formation of new osteons is evident. Adjacent to the endosteum are cells of the bone marrow. These cells are progenitor cells of blood. One such cell is the megakaryocyte which may resemble osteoclast expect for the fact that the megakaryocyte has a multilobed nucleus and is almost never located on the bone surface.
Check list for SLIDE 06b: 
SLIDE 05c fetal skull, mouse (Mallory)
(RR&K p181, Fig. 1,2,3)
This slide contains frontal section of the mouse fetal head and demonstrates intermembranous bone formation. Locate the eyes and tongue and use these landmarks to understand the orientation of the section. Look at the top of the head to find the scalp and the underlying area of intermembranous bone formation. The osteoid stains blue (as does connective tissue) and bone stains red in this specimen. Identify forming bone spicules and the very primitive periosteum. Note osteocytes and osteoblasts. Also find regions of endochondrial bone formation. Where are those regions typically found? What type of bone formation occurs around the mandible?
Check list for SLIDE 05c: 
SLIDE 08c developing bone, human (H&E)
(RR&K p177, Fig. 1,2,3; p179, Fig 1,2)
This slide shows developing phalanges in the human. These small bones lack a secondary center of ossification and therefore, do not develop an epiphyseal plate. However, the different cartilaginous zones are clearly evident. Extending down from the cartilaginous zones are mixed spicules containing bone (stained deep-red) and core of calcified cartilage (stained pale-blue). On some slides you may be able to see where the blood vessels pierce the shaft of the bone and enter the marrow cavity. Compare the different centers of ossification in these specimen to get an idea of the development of the primary centers.
Check list for SLIDE 08c: 
Cartilage and bone are essential for movement and protection of the body. Bone is also critical in hemopoiesis. This unit examines cartilage and bone structure and various stages of their development.