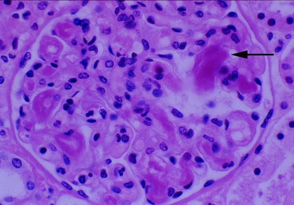
Renal glomerulus, Waterhouse Friderichsen syndrome, photomicrograph, H/E, x
Click picture to enlarge. Close window to return

The microthombi formed in DIC can occur in any vessel, but are most easily found in the capillary loops of the renal glomerulus. Here they can be seen (arrow) even with H/E staining. The PTAH stain may also be used to stain the fibrin a blue color for easier identification.