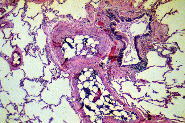
Bone marrow embolus, lung, photomicrograph
Click picture to enlarge. Close window to return

In trauma involving the long bones or the pelvis, a fracture may liberate marrow fat or bone marrow, which enters the circulatory system. Fat emboli entering the venous side end up in the lung, where they can cause the adult respiratory distress syndrome. Bone marrow emboli are often seen at autopsy, usually following vigorous cardiopulmonary resuscitation attempts (CPR). They can cause the same symptoms as fat embolus. Note the marrow elements within the fat.