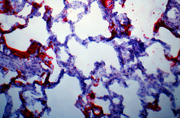
Fat embolus, lung, photomicrograph, Oil Red O
Click picture to enlarge. Close window to return

In trauma involving the long bones or the pelvis, a fracture may liberate marrow fat or bone marrow, which enters the circulatory system. Fat emboli entering the venous side end up in the lung, where they can cause the adult respiratory distress syndrome. Here, the fat is stained with Oil Red O, which turns it red. It is seen in the alveolar septae.