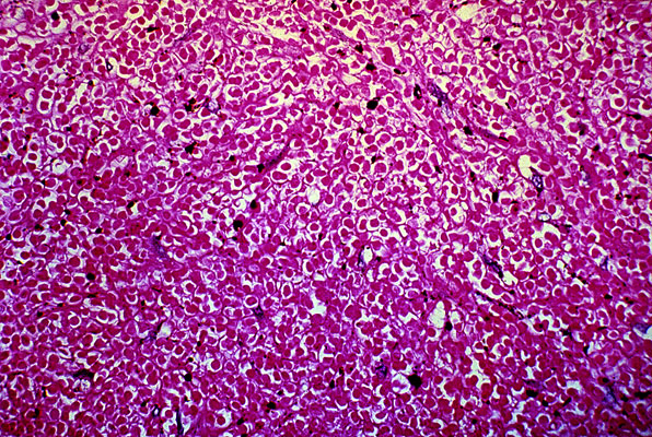
Recent thrombus, femoral vein, photomicrograph, H/E, x100
Click picture to enlarge. Close window to return
In a recently formed
thrombus
, all one sees microscopically is a network of
fibrin
strands with trapped RBCs, and the normal ratio of WBCs.