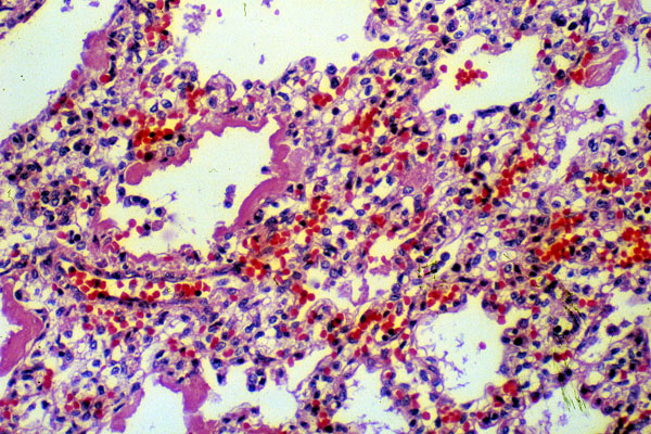
Hyaline membrane disease
Click picture to enlarge. Close window to return
There is alternating
atelectasis
and dilation of aleoli in this case of resipatory distress of the newborn. Several air spaces are lined by pink,
fibrin
-rich membranes.