Inflammatory disorders
Click picture to enlarge. Close window to return
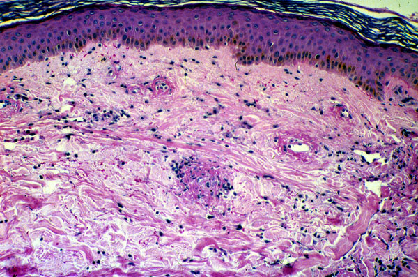
Leukocytoclastic
vasculitis
, micro,
fibrin
and a few leukocytes around small dermal vessels.