Inflammatory disorders
Click picture to enlarge. Close window to return
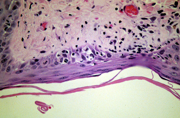
Lupus erythematosus
, micro, lymphocytes at the dermo-epidermal junction, vesicular
degeneration
of epidermal basal cells and epidermal
atrophy
.