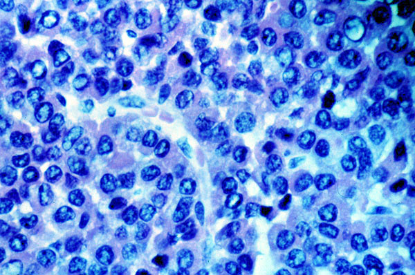
Cushing disease, basophilic adenoma, photomicrograph
Click picture to enlarge. Close window to return
Adenoma
composed of basophilic cells (blue with H&E stain) in
Cushing disease
.