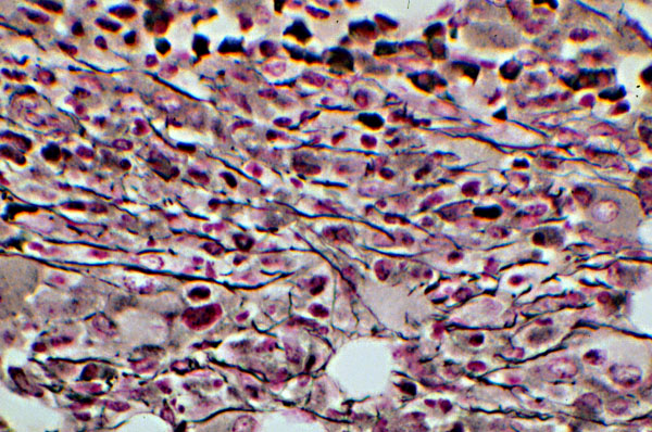
Increased reticulin fibrosis, reticulin silver stain, bone marrow biopsy, h
Click picture to enlarge. Close window to return

The reticulin fibers appear black in this special stain for reticulin. This bone marrow shows a diffuse, moderate increase in reticulin fibrosis. Increased fibrosis is a feature common to all chronic myeloproliferative disorders, but is the histologic hallmark of agnogenic myeloid metaplasia.