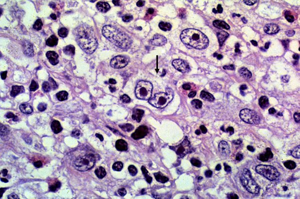
Classic Reed-Sternberg cell, Hodgkin disease, lymph node, histology
Click picture to enlarge. Close window to return

The classic Reed-Sternberg cell is a large binucleate cell with the nuclei containing prominent, eosinophilic nucleoli ("owl's eye" nucleus). Several other Reed-Sternberg variants are present in the slide.