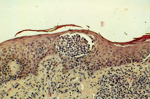
Mycosis fungoides, skin, histology
Click picture to enlarge. Close window to return

Mycosis fungoides displays a feature termed epidermatrophism, which refers to migration of the neoplastic T-cells up into the epidermis. This slide shows hyperkeratosis, a band-like infiltration of the dermis by tumor cells and a characteristic intra-epidermal collection of neoplastic T-cells, termed a Pautrier microabcess.