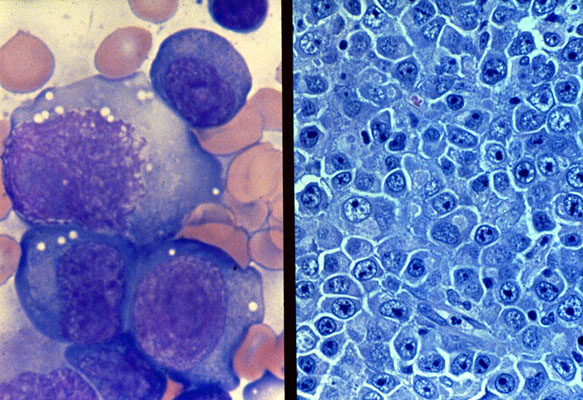
Non-Hodgkin's Lymphoma, immunoblastic, cytology and histology
Click picture to enlarge. Close window to return

Immunoblastic lymphoma is a high grade lymphoma with cytologic features showing prominent, centrally placed nucleoli. The histologic half of this slide shows the immunoblasts to display plasmacytoid features, including eccentric placement of the nucleus and abundant cytoplasm.