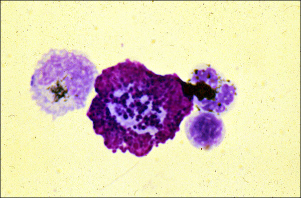
Mast cell
Click picture to enlarge. Close window to return

Increase in tissue concentration of mast cells is a characteristic of type I hypersensitivity (analphyactic type, mediated by IgE). They have IgE receptors on their surfaces, and can become sensitized by binding IgE that is specific for a given antigen. They are important players in type I hypersensitivity reactions, therefore. When stimulated, they are an exceptionally rich source of histamine in the tissues, produce eicosanoids, and produce an eosinophil chemotactic factor. The fact that eosinophils are commonly found at the site of allergic reactions is probably due to the fact that they were called there by the eosinophil chemotactic factor that is produced by mast cells.