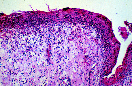
Pseudomembranous cystitis, histology
Click picture to enlarge. Close window to return

The mucosa is ulcerated and the missing epithelium is replaced by a hemorrhagic exudate rich in fibrin. The submucosa is edematous and contains prominent inflammatory cells, congested blood vessels.