Lobar pneumonia
Click picture to enlarge. Close window to return
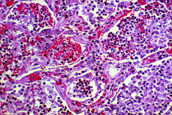
Microscopically, bacterial pneumonias are characterized by many neutrophils filling alveolar spaces, as shown in this slide. Frequently there are admixed red cells and
fibrin
.