Eosinophilic granuloma
Click picture to enlarge. Close window to return

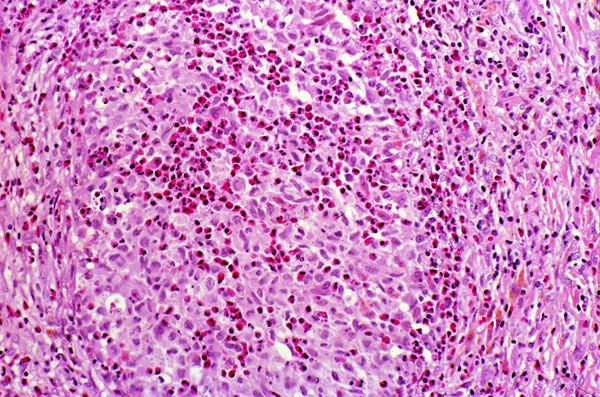
Eosinophilic granuloma, high power, of cellular infiltrate, which is composed of Langerhans cells (or histiocytosis-X cell), eosinophils, and variable numbers of lymphocytes and plasma cells. The Langerhans cell is a large pale staining histiocyte containing a bland folded or indented nucleus, and inconspicuous nucleolus an abundant eosinophilic cytoplasm. The diagnosis can be confirmed by positive S-100 protein stains.