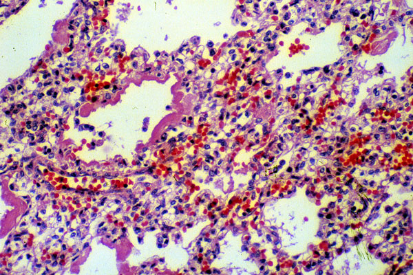
Hyaline membrane disease of the newborn
Click picture to enlarge. Close window to return

There is alternating atelectasis and dilation of alveoli; several air spaces are lined by pink hyaline membranes. Although by light microscopy, hyaline membranes appear deeply pink and homogeneous, ultrastructurally they have been shown to be composed of fibrin and cell debris derived from necrotic sloughed pneumocytes.