
Contributed by Gregory P. Fusco, MD, MPH, Mia C. N. Perez, MD and E. Leon Barnes, MD
PATIENT HISTORY:
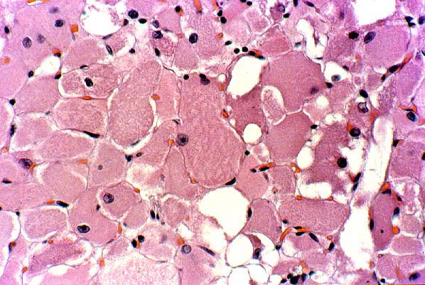
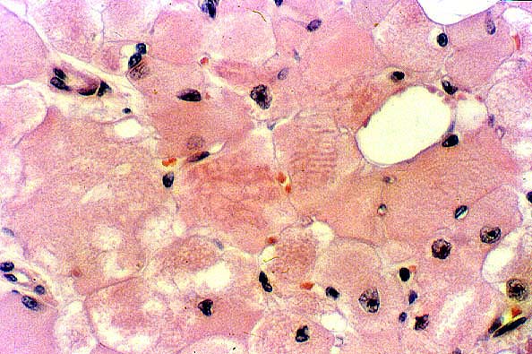
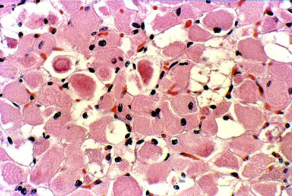
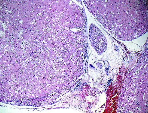
The patient is a 64-year old male who presented with a five-month history of dysphagia of solids greater than liquids. He denied pain, recent and remote trauma. An endoscopy revealed a prominent mucosa-covered lesion near the vocal cords. A CT scan revealed a large, bulky, well-circumscribed tumor involving the right pyriform sinus, postcricoid hypopharynx and right preepiglottic space. He had no cervical lymphadenopathy.