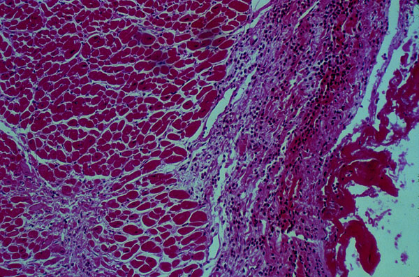
Pericarditis, micro
Click picture to enlarge. Close window to return
Fibrin
opurulent
pericarditis
, histology. The epicardium is covered with fibrin and inflammatory cells.