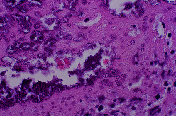
Bacterial endocarditis, micro
Click picture to enlarge. Close window to return
Acute bacterial
endocarditis
. The vegetations are composed of
fibrin
that contains large colonies of bacteria (blue).