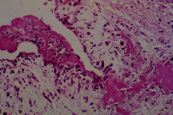
Rheumatic endocarditis, histology
Click picture to enlarge. Close window to return

Rheumatic endocarditis early stage, histology. The fibrin aggregate on the surface of the valve is attached to the valve by ingrown granulation tissue. The valve is edematous and contains an increased number of fibroblasts and vessels admixed to chronic inflammatory cells.