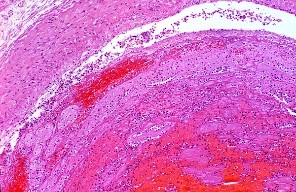
Phlebothombosis, histology
Click picture to enlarge. Close window to return

The lumen of the dilated vein contains a thrombus which shows prominent layering. Parts of the thrombus are composed of red blood cells whereas others are composed layers of platelets and fibrin. Thrombus also contains nucleated white blood cells.