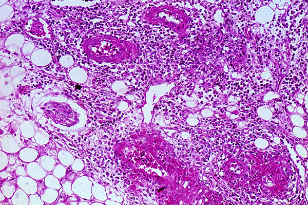
Periarteritis nodosa
Click picture to enlarge. Close window to return

The medium sized arteries in the fat tissue appear magenta red because their wall is impregnated with fibrin (fibrinoid necrosis). There is also marked inflammation in the wall of these blood vessels extending into the perivascular connective tissue (arteritis and periarteritis).