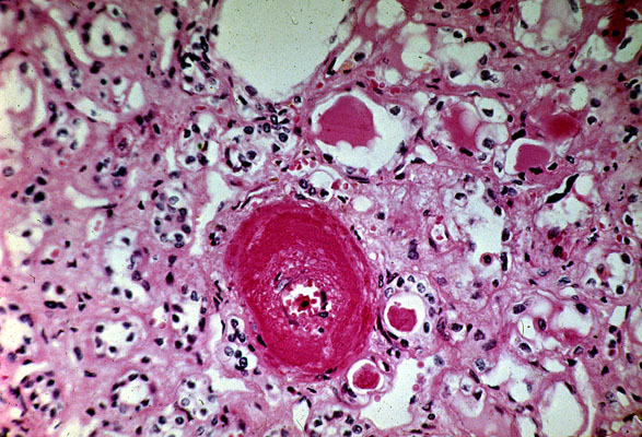
Malignant hypertension
Click picture to enlarge. Close window to return
This renal arteriole shows
fibrin
oid
necrosis
. The wall of the arteriole appears magenta red due to fibrin that has impregnated its wall.