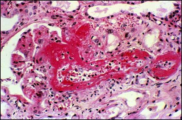
Fibrinoid necrosis
Click picture to enlarge. Close window to return
The afferent arteriole and part of the
glomerulus
are infiltrated with
fibrin
, which appears as bright red amorphous material.