Techniques and Cytology

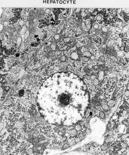
Hepatocyte. Identify its nucleus, nucleolus, chromatin clumps, glycogen masses (dark masses), mitochondria and rER.