Techniques and Cytology

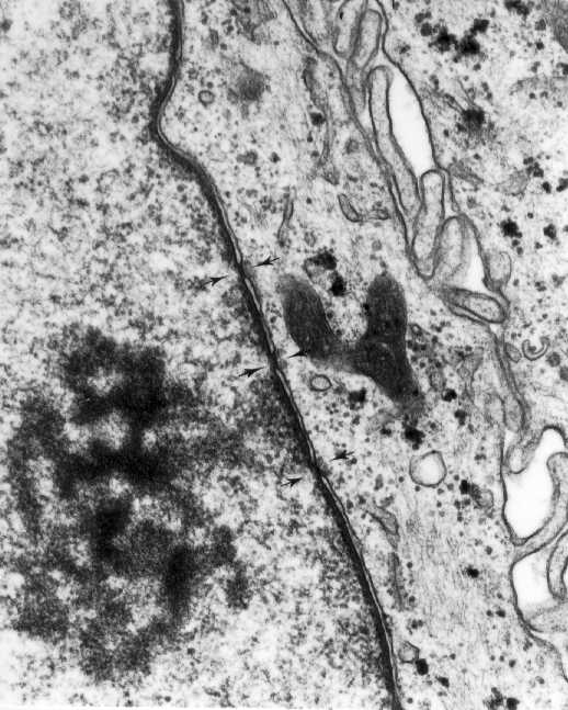
Identify the nucleopores and nucleolus.