Techniques and Cytology

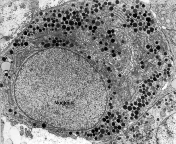
An endocrine cell contains numerous secretory granules (hormone). Locate the Golgi apparatus in this cell.


Endocrine cell