Techniques and Cytology

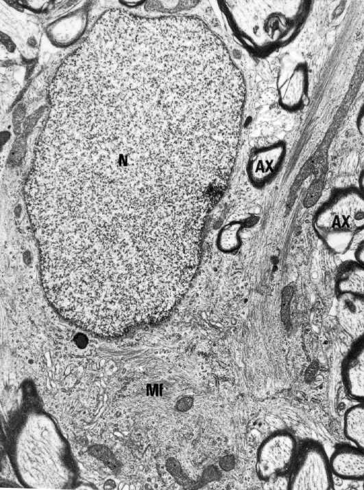
A neuroglia (astrocyte). The cytoplasm contains bundles of microfilaments (Mf). Other organelles present are marked N, for nucleus and Ax, for myelinated axons.


Neuroglia