Techniques and Cytology

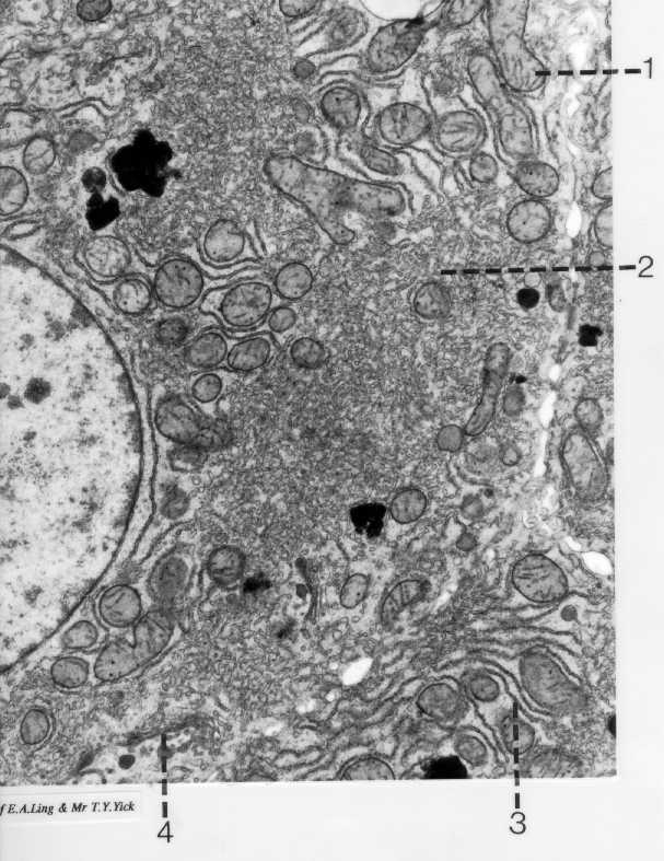
Portion of a hepatocyte. Identify mitochondria (1), smooth endoplasmic reticulum (2), rER (3), and Golgi apparatus (4). Give one specific function of each of the organelles identified.

Answer

Hepatocyte