Techniques and Cytology

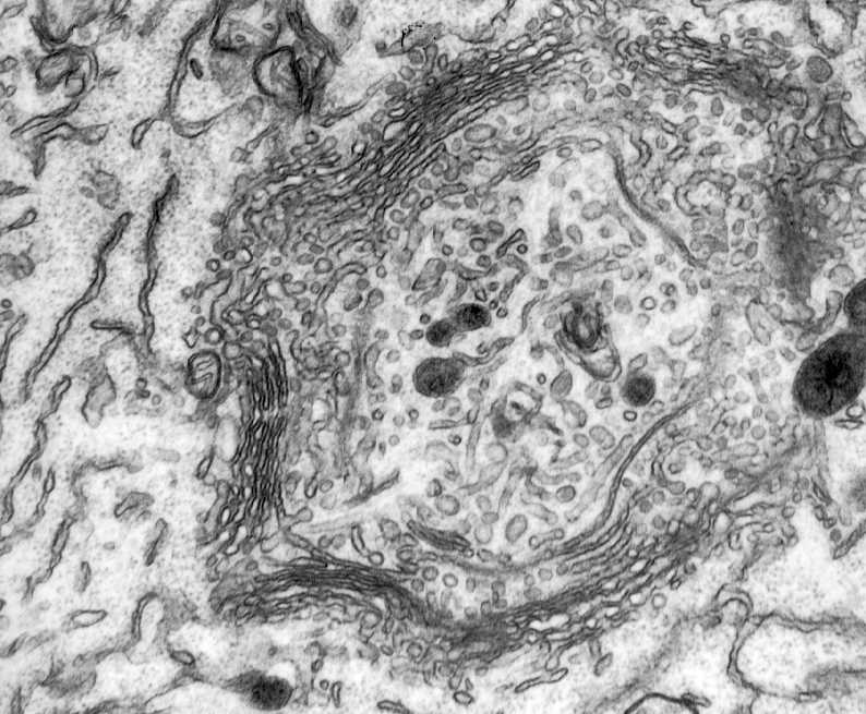
An electron micrograph showing a well-developed Golgi complex.


Golgi complex