Techniques and Cytology

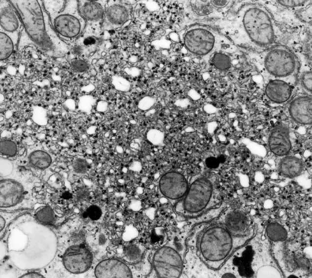
Portion of a hepatocyte showing extensive smooth endoplasmic reticulum (sER) with associated glycogen granules (dark particles). Within the mitochondria are numerous identifiable cristae.


Hepatocyte