Techniques and Cytology

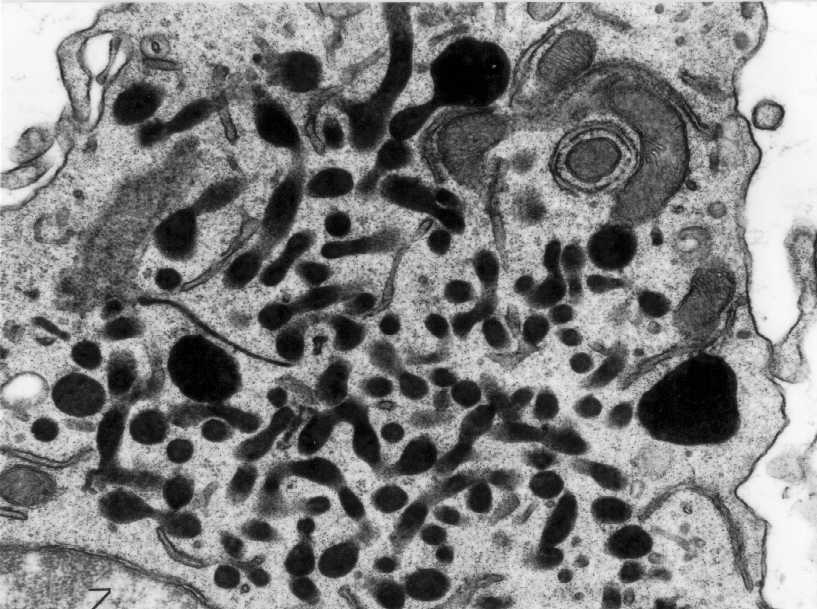
Lysosomes in a Kupffer cell. N indicates the nucleus of the cell.

Name two enzymes that may be present in lysosomes.

Answer

Kupffer cell