Techniques and Cytology

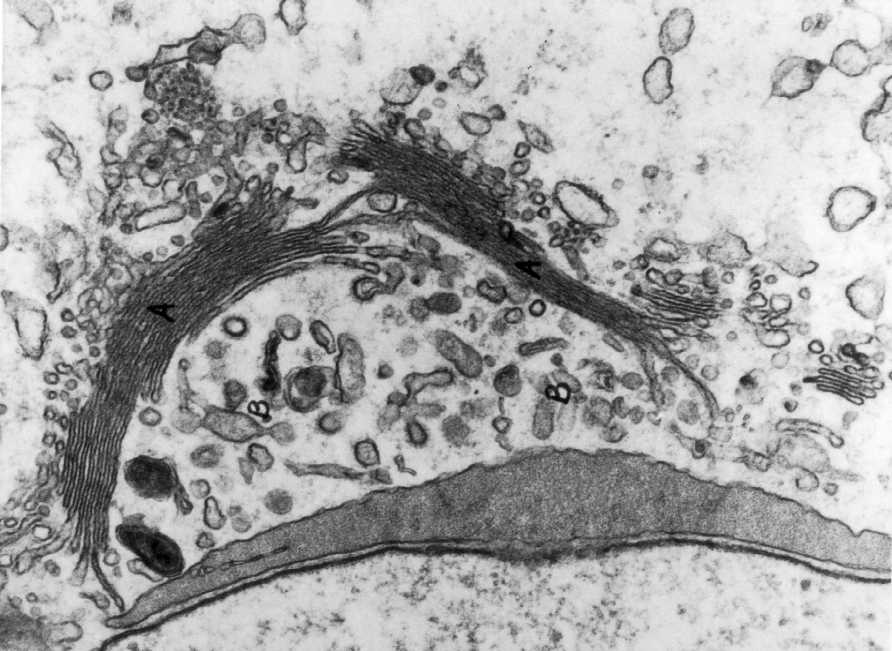
Golgi apparatus (A) of a spermatid. Can you recognize its cis- and trans- surfaces?

B denotes the GERL system. What is its main function?

Answer

Spermatid