Techniques and Cytology


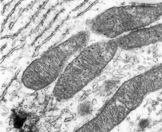
Mitochondria. Identify their transverse cristae.