Techniques and Cytology


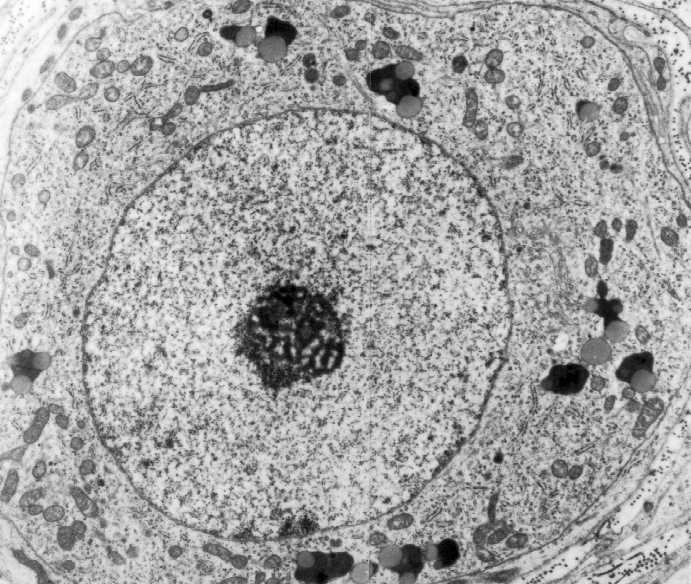
A neuron. The round nucleus contains mainly euchromatin (dispersed chromatin). What does this indicate? Answer

A prominent nucleolus is located in the centre. In the cytoplasm, identify the lipofuschin granules, rough endoplasmic reticulum (rER) and mitochondria.