Techniques and Cytology


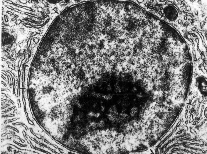
This is a transmission electron micrograph of the nucleus of a hepatocyte (liver cell). Arrows indicate nucleopores.

Note the double layered nuclear membrane and the extensive endoplasmic reticulum surrounding the nucleus. Within the nucleus is a prominent electron-dense nucleolus.