Nervous Tissue



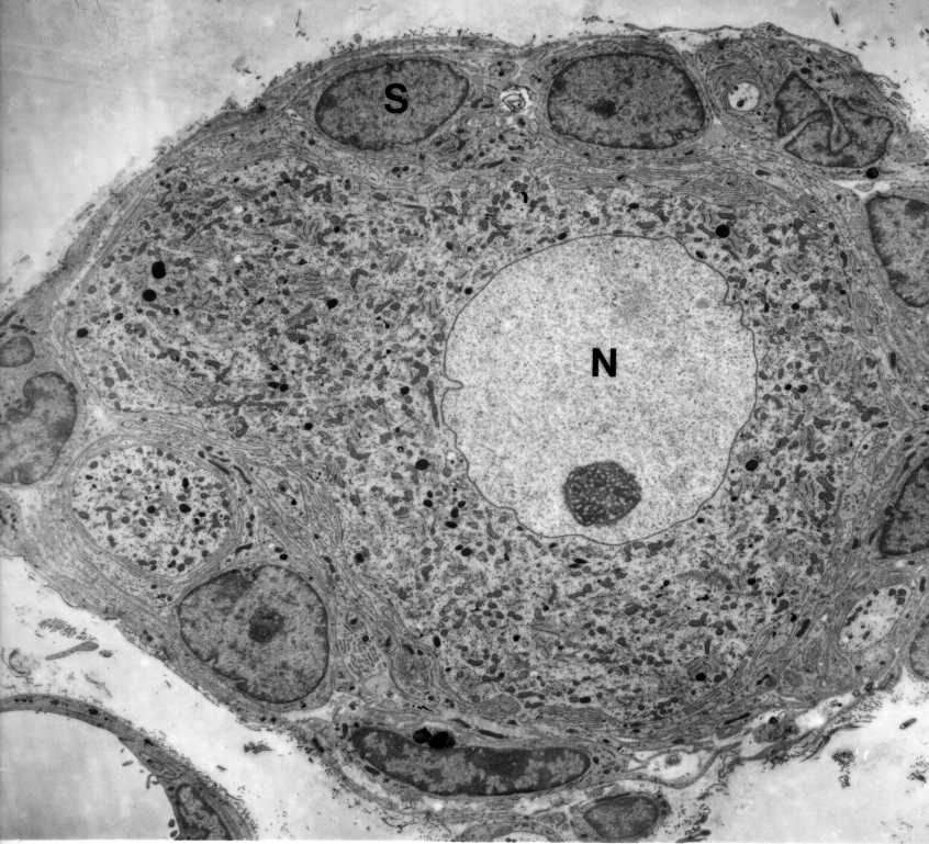
A sensory ganglion cell containing a pale nucleus(N) with a disatinct nucleolus. The cell is surrounded by several satellite cells(S).