Nervous Tissue



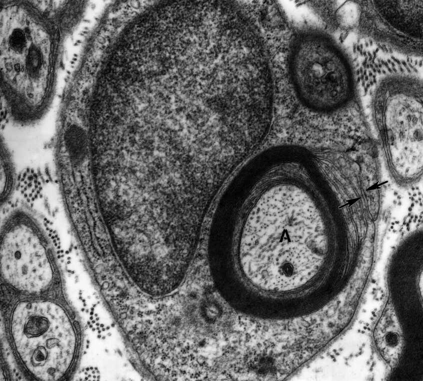
Showing an axon(A). Myelination is in progress. What do the arrows indicate? Identify the nucleus of the Schwann cell.