Nervous Tissue



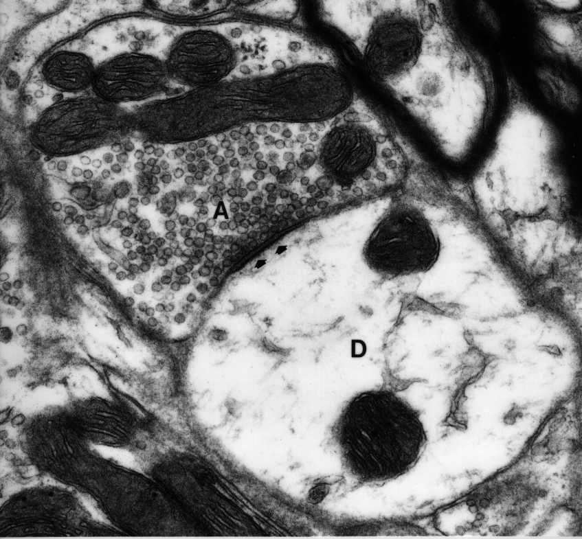
An axo-dendritic synaptse. Note the numerous agranular synaptic vesicles in the axon terminal(A). Arrows indicate the postsynaptic thickening. D, dendrite.