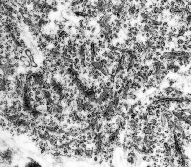
Nervous Tissue



Portion of cytoplasm of a neuron showing ribosomes/polyribosomes/rER.