Nervous Tissue



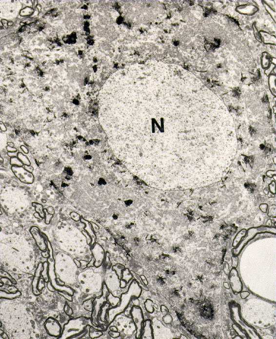
A motor neuron is labelled with horseradish peroxidase(HRP) (dark deposit) when injected into the peripheral nerve. N, nucleus.