Nervous Tissue



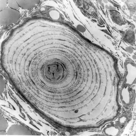
Pacinian corpuscle. Arrows indicate nerve.